Matter, Energy, and Life of Michaela A. Castello.
About
Matter
Science
Writing
Energy
Life
Short Reads
Long Reads
Archive
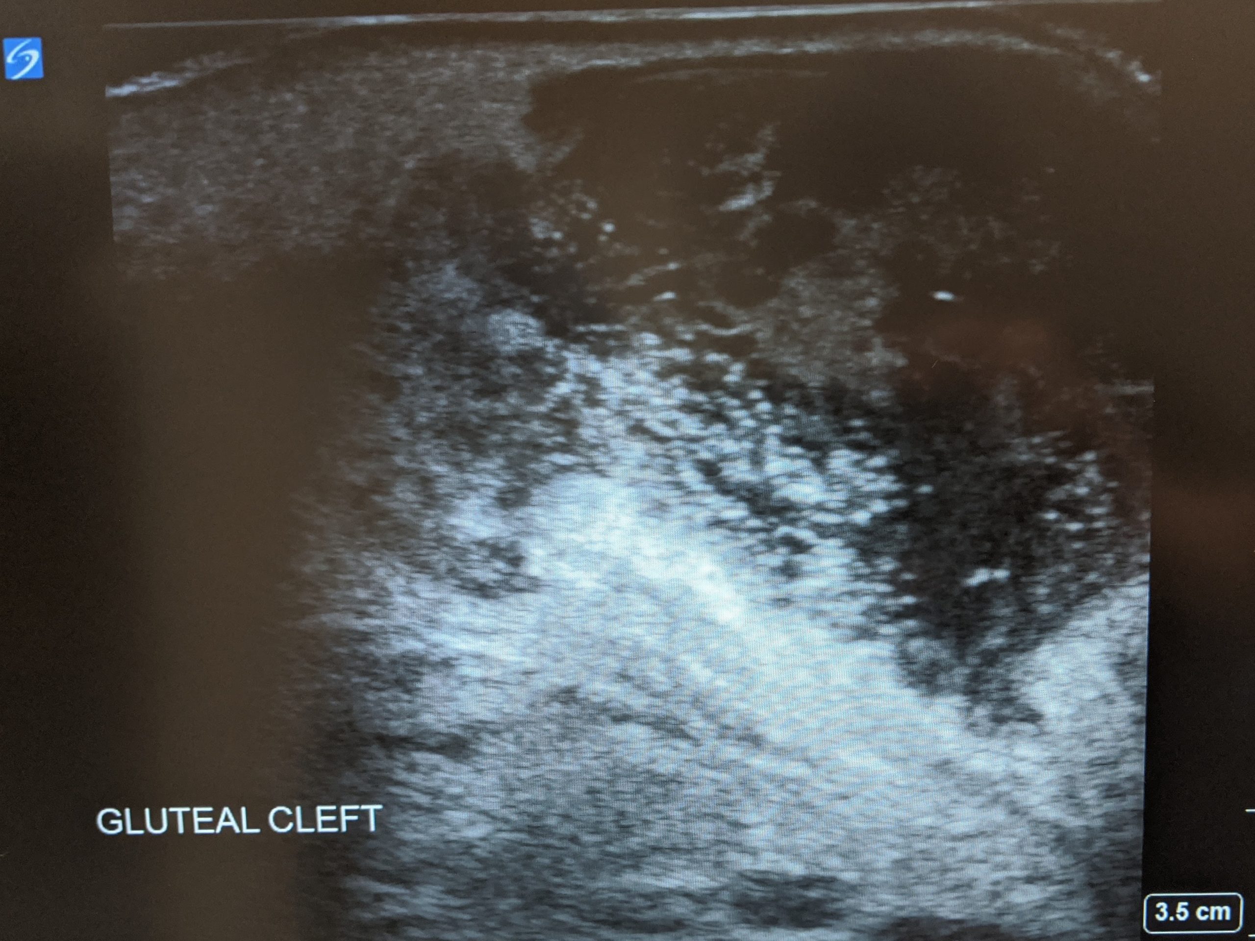
Pilonidal Cyst
July 4, 2020
Michaela A. Castello
You may also enjoy…
Want more? Keep up with the hottest content.
Subscribe to posts via email